犬の膝蓋骨内方脱臼②(Medial patellar luxation)最近のトレンド
膝蓋骨内方脱臼(MPL:Medial patellar luxation)は犬の整形学的問題として広く認識されてきました。多くの報告で病因や臨床兆候、手術方法、その長期的、短期的な治療結果が議論されてきました。一般的に推奨されている手術方法は軟部組織再建と大腿骨滑車溝の形成と脛骨粗面の転移術が挙げられます。患肢の角度強制が必要な場合は最も重篤と考えられます。
膝蓋骨脱臼のグレード(進行度)は一般に4段階で表記されます。
当院HP参照

膝蓋骨内包脱臼の外科治療は現在、複数の手術手技を組み合わせて治療されています。また「どの症例にどの手術手技を組み合わせて治療するのか?」は未だ議論があり、一定の「コンセンサス(共通認識)」は得られているものの、細かい術式などは、疾患の重症度(グレード)や経験によるものが多い現状です。
外科手術の治療内容は
①大腿骨滑車溝の形成術(ブロック法orウエッジ法)
②脛骨粗面の転移術
③内側の軟部組織のリリース
④関節胞の縫縮
が挙げられ、術前、術中所見により選択、施術されます。
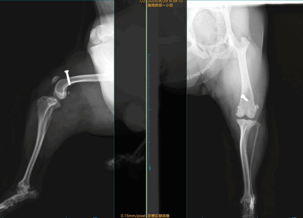
当院では
①の治療法を選択せずに、⑤の治療法(脱落防止スクリュー)を選択的に取り入れております。
![]()
「大腿骨滑車形成術は必要なのだろうか・・・_?」
従来から疑問でしたが、「大腿骨滑車溝の形成術」は多くの施設第一選択として施術されてきた歴史があります。
そもそも、ラテラルにて膝蓋骨は滑車の上にあります。溝とは接しておりません・・。(掘る必要あるのかな?)
しかし、膝蓋骨脱臼の手術を多く経験しますと、骨切りしたTPLOよりも治療回復が遅い症例もチラホラ見受けられます。
獣医医療では大腿骨滑車形成はブロック法、ウエッジ法が代表的ですが、少なからず、滑車の軟骨を痛めてしまうデメリットは避けれれません。
そこで、近年のトレンド、膝蓋骨の脱落防止スクリューを当院では選択的に治療、施術を行なっております。
特に、比較的若い症例で慢性的なMPLで悩まされている症例については軟骨損傷を最小限にした脱臼整復が可能となります。

「チワワのMPLGrade3 Pre Xray」

「術中所見:大腿骨滑車部位の軟骨損傷、欠損」
この部位で膝蓋骨(パテラ)は容易に脱臼します。
この部位の脱臼を防ぐ為には滑車溝を形成(深く)しても脱臼してしまうでしょう。。
開業以来、膝蓋骨脱臼の症例を多く手術させていただきました。
大学病院整形外科でも多くの膝蓋骨脱臼の症例を経験させていただきました。
近年では前十字靭帯断裂に対する矯正骨切術(TPLO)も多く経験させていただき、膝関節に対する理解が深まったと感じております。
今後も安定した医療を提供できるように精進してまいります。
適切な治療が行われない場合の合併症としては
骨関節炎(Osteoarthritis)の進行や前十字靭帯断裂(Cranial cruciate disease)半月板の損傷などが考えられます。
Surgical treatment of medial patellar luxation without femoral trochlear groove deepning procedures in dogs:91 cases(1998-2009) william R javma vol238,no.9,may 1, 2001
更新2025/08/01